El titular del Ministerio de Salud (Minsal), Francisco Alabí, explicó las diferencias entre la viruela del mono, la varicela y el acné debido a que estas pueden ser confundidas por la población en la mayoría de las ocasiones.
Con el propósito de detectar prontamente la viruela, el ministro explicó que esta nueva enfermedad en el país empieza con síntomas como fiebre, dolores de cabeza, migrañas, agotamiento, náuseas, vómitos, pero que tiene como particularidad la aparición de lesiones dérmicas.
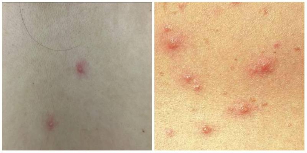
Las lesiones de la 'Monkeypox' no son “en gran cantidad” y “no aparecen en todo el cuerpo” como se cree, según Alabi. Estas lesiones pueden aparecer en las manos, en las plantas de los pies y en la espalda.
En cambio la varicela, según Alabí, presenta lesiones dérmicas en grandes cantidades a lo largo del cuerpo y estas se dan de diferentes formas, sin embargo, destaca que las pústulas no se desarrollan simultáneamente.
“Las lesiones de la varicela no pasan por las mismas fases, ¿qué quiero decir? que aquí mientras un grano está seco, otro puede estar más enrojecido que otro”.
Francisco Alabi,
Ministro de Salud.
Alabi destacó que a diferencia de la viruela símica, todas las lesiones avanzan al mismo tiempo, “cuando hay una formación de pústula, todas son pústulas, si una está enrojecida todas están enrojecidas, por lo cual todas van iguales y no aparecen en grandes cantidades como la gente cree” indicó Alabi.
El titular del Minsal señaló que otra de las erupciones en la piel que se puede confundir con la viruela es el acné. Alabi explicó que la aparición del acné se da comúnmente en el rostro.
"A diferencia del acné que solo aparece en el rostro, la viruela símica presenta pústulas en las palmas de las manos y las plantas de los pies y en el 75 % de los casos con viruela está presente”.
Francisco Alabi,
Ministro de Salud.
El funcionario destacó que en redes circulan muchas imágenes que se adjudican a viruela símica, pero que pueden tratarse de fotos de lesiones dérmicas por otras enfermedades como la varicela, generando desinformación.
El ministro Alabí reiteró que la viruela símica se contagia a través de secreciones corporales, y no todos los mecanismos de contagio tienen que ver con contacto sexual.
La confirmación del primer caso de viruela del mono ocurrió el pasado martes 30 de agosto. Según los datos del Minsal se trata de una mujer de 28 años de edad que tuvo contacto el 2 de agosto con una persona procedente de Estados Unidos, que presentó síntomas leves, sin lesiones en la piel, y que tampoco se sometió a prueba.
Hasta el momento, el Minsal tiene en vigilancia más de 20 personas que tuvieron contacto con la mujer contagiada, pero no han presentado ningún síntoma.
